Connect With Us

sonoschool@rediffmail.com

Call For Inquiry

+91 9811977372

Basic Topics

MODULE 1 :- KNOBOLOGY

2D KNOBOLOGY , PROBE MOVEMENTS, USG TERMINOLOGY, ARTEFACTS, SECTIONS, USG NOMENCLATURE, ORIENTATION, COLOR KNOBOLOGY, COLOR FLOW MAPPING, POWER ANGIO STUDIES, SPECTRAL DOPPLER, ANGLE CORRECTION AND INDICES, 3D/4D KNOBOLOGY, APPLLICATIONS, STEP BY STEP INSTRUCTIONS, ADVANCEMENTS AND CLINICAL USAGE

SESSIONS :- 2
STATUS :- AVAILABLE
AVAILABLE FOR :- 7 DAYS FOR EACH SESSION
COURSE CODE :- BK
CHARGES :- INR 10000/-   INR 7000/-   USD 100/-
NOTE :- CHOOSE MORE TO GET A DISCOUNT

MODULE 2 :- GYNECOLOGY

NORMAL AND ABNORMAL : UTERUS (ENDOMETRIUM/MYOMETRIUM/ JUNCTIONAL ZONE), NORMAL AND ABNORMAL : ADNEXA (ENDOMETRIOSIS/ SIMPLE CYST/ PCO/ DERMOID/ MALIGNANCY), SCORING SYSTEMS IN GYNECOLOGY (MUSA/IDEA/IETA/IOTA)

SESSIONS :- 2
STATUS :- AVAILABLE
AVAILABLE FOR :- 7 DAYS FOR EACH SESSION
COURSE CODE :- BG
CHARGES :- INR 10000/-   INR 7000/-   USD 100/-
NOTE :- CHOOSE MORE TO GET A DISCOUNT

MODULE 3 :- INFERTILITY

CAUSES OF FEMALE INFERTILITY : UTERINE/ OVARIAN/ TUBAL/ ADVANCEMENTS, BASELINE SCAN : 2D/CD : INTERPRETATION AND PLANNING, FOLLICLE MONITORING :2D/CD AND TRICKY SCENARIOS,

SESSIONS :- 2
STATUS :- AVAILABLE
AVAILABLE FOR :- 7 DAYS FOR EACH SESSION
COURSE CODE :- BI
CHARGES :- INR 10000/-   INR 7000/-   USD 100/-
NOTE :- CHOOSE MORE TO GET A DISCOUNT

MODULE 4 :- EARLY PREGNANCY

04-10 WEEKS : EVALUATION OF EARLY NORMAL PREGNANCY, 04-10 WEEKS : ABNORMAL LOCATION / DEVELOPMENT/ PROGRESS, 10-14 WEEKS: SCREENING STRATEGIES AND WORKUP, 10-14 WEEKS: FETAL ANATOMY n STRUCTURAL DEFECTS (EYE OPENER

SESSIONS :- 2
STATUS :- AVAILABLE
AVAILABLE FOR :- 7 DAYS FOR EACH SESSION
COURSE CODE :- BEP
CHARGES :- INR 10000/-   INR 7000/-   USD 100/-
NOTE :- CHOOSE MORE TO GET A DISCOUNT

MODULE 5 :- 11-14 WEEKS PREGNANCY

10-14 WEEKS: SCREENING STRATEGIES AND WORKUP, 10-14 WEEKS: FETAL ANATOMY N STRUCTURAL DEFECTS (EYE OPENER)

SESSIONS :- 2
STATUS :- AVAILABLE
AVAILABLE FOR :- 7 DAYS FOR EACH SESSION
COURSE CODE :- BNT
CHARGES :- INR 10000/-   INR 7000/-   USD 100/-
NOTE :- CHOOSE MORE TO GET A DISCOUNT

MODULE 6 :- ANOMALY SCAN

NORMAL FETAL ANATOMY ON ULTRASOUND : GUIDELINES, ABNORMALITIES : STRATEGY TO PROGNOSTICATE / COUNSELLING/ APPROACH/ FOLLOW UP

SESSIONS :- 2
STATUS :- AVAILABLE
AVAILABLE FOR :- 7 DAYS FOR EACH SESSION
COURSE CODE :- BA
CHARGES :- INR 10000/-   INR 7000/-   USD 100/-
NOTE :- CHOOSE MORE TO GET A DISCOUNT

MODULE 7 :- CARDIAC AND MISCELLANEOUS

FETAL CARDIAC SCANNING : 4CH / OUTFLOW/ 3VV/ 3VT/ SAG/ OBLVIEWS, MAJOR CARDIAC ABNORMALITIES/ TWINS/ FETAL ANEMIA/ PLACENTA ACCRETA/ NEUROSONOGRAPHY AT A GLANCE

SESSIONS :- 2
STATUS :- AVAILABLE
AVAILABLE FOR :- 7 DAYS FOR EACH SESSION
COURSE CODE :- BH
CHARGES :- INR 10000/-   INR 7000/-   USD 100/-
NOTE :- CHOOSE MORE TO GET A DISCOUNT

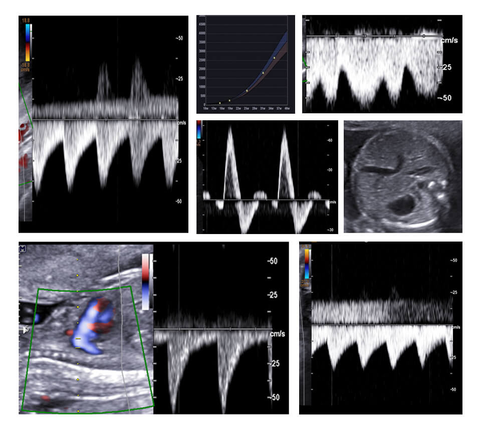
MODULE 8 :- BIOMETRY & COLOR DOPPLER

FETAL BIOMETRY/ FGR CONCEPTS/ IMPORTANCE OF GRAPHS AND SERIAL EVALUATION, COLOR DOPPLER : UTERINE/ UMBILICAL/ MCA/ DUCTUS/ CPR, TO SCREEN/ TO MANAGE/ TO PROCEED OR TERMINATE

SESSIONS :- 2
STATUS :- AVAILABLE
AVAILABLE FOR :- 7 DAYS FOR EACH SESSION
COURSE CODE :- BBD
CHARGES :- INR 10000/-   INR 7000/-   USD 100/-
NOTE :- CHOOSE MORE TO GET A DISCOUNT

Basic Topics All Amount
TOTAL MODULE :- 08
CHARGES :- INR 56000/-   INR 40000/-   USD 600/-
NOTE :- MEASURE DISCOUNT